contact us
Email Us

IL-1α Identified as a Driver of Chemotherapy-Induced Cardiotoxicity in AMLIL-1α

IL-1α Identified as a Driver of Chemotherapy-Induced Cardiotoxicity in AMLIL-1α
Table of Content [Hide]

    Chemotherapy-induced cardiotoxicity (CIC) remains a major clinical challenge in the treatment of acute myeloid leukemia (AML). While anthracyclines such as daunorubicin (DNR) are widely used as first-line agents, their cardiotoxic effects—especially in pediatric and young adult patients—can compromise long-term cardiac function and survival.

     

    A recent study led by Prof. Hao Zhang and Dr. Yiwei Liu, published in European Heart Journal (IF=37.6), uncovers how IL-1α released from tumor cells disrupts cardiac metabolism, contributing to heart dysfunction during chemotherapy.

     

    This research highlights the intercellular crosstalk between tumor and cardiac cells and identifies IL-1α as a key mediator. Crucially, the study demonstrates that neutralizing IL-1α alleviates cardiac injury without compromising anti-leukemic efficacy.

     

    *Service Provider:  To investigate cell-specific metabolic changes in patient tissue, the team applied Single-Cell Sequencing Services | 10x-Based CRO – Omics Empower —with technical support from Omics Empower.

     

     

    Research Highlights.

    1. Cardiac Metabolic State Is Altered in AML Patients After DNR-Based Chemotherapy

     

    Endomyocardial biopsy samples were collected from a representative AML patient who developed heart failure shortly after receiving DNR-based chemotherapy. As a control, tissue was obtained from a brain-dead donor with normal cardiac function.

     

    Single-nucleus RNA sequencing (snRNA-seq) was performed to analyze transcriptional profiles. Eight major cardiac cell types were identified. Differential expression analysis and pseudotime trajectory reconstruction showed that a subset of cardiomyocytes in the AML patient exhibited metabolic dysregulation, characterized by:

    • Downregulation of genes associated with fatty acid metabolism

    • Upregulation of genes involved in glucose metabolism


     

    Cardiac_metabolic_disruption.png 

    Figure 1. Cardiac metabolic disruption in an AML patient following daunorubicin (DNR) treatment

     

    2. DNR-Treated AML Mice Develop Cardiac Dysfunction and Energy Deficiency

    To model chemotherapy-induced cardiac dysfunction, the researchers established an AML mouse model. Following DNR administration:

     

    • Mice exhibited cardiac injury and decreased cardiac function

    • Compared to untreated AML mice, fatty acid uptake was significantly reduced, while glucose uptake was increased

    • These mice also displayed signs of cardiac energy deficiency, including:

    • Reduced ATP levels

    • Mitochondrial swelling and lower cristae density

    •  Impaired mitochondrial respiration

     

    Importantly, these phenotypes were not observed in tumor-free (TF) mice treated with the same dose of DNR, highlighting the role of leukemia in cardiac metabolic disturbances.

     

    Cardiac_metabolic_remodeling.png 

    Figure 2. Cardiac metabolic remodeling and functional impairment in AML mice after DNR treatment

     

    3. Chemotherapy Induces Substrate Utilization Shifts in the Heart

    To directly investigate cardiac substrate preference during chemotherapy, stable isotope-labeled metabolic flux analysis was performed in AML and AML+DNR mice. The data revealed:

     

    • A significant reduction in fatty acid oxidation

    • Increased glucose utilization as a compensatory response

    • However, this shift did not fully restore ATP production

     

    Additional analysis showed elevated flux through the pentose phosphate pathway (PPP) and enhanced glucose input into the TCA cycle in DNR-treated AML hearts.

     

    Isotope_tracing.png  

    Figure 3. Isotope tracing reveals disrupted fatty acid metabolism in DNR-treated AML mice

     

    4. IL-1α Disrupts Cardiac Energy Metabolism After DNR Treatment

    Bulk RNA-seq suggested that cytokine signaling may contribute to the observed metabolic disorder in AML+DNR mouse hearts. Subsequent proteomics and immunofluorescence analyses identified interleukin-1 alpha (IL-1α) as a key factor:

    • IL-1α protein levels were significantly elevated in AML+DNR mice (vs. controls)

    • Similar increases were observed in cardiac tissue from AML patients

    • In a patient cohort, plasma IL-1α levels negatively correlated with left ventricular ejection fraction (LVEF)

     

    These findings suggest that tumor-derived IL-1α is involved in chemotherapy-associated cardiac dysfunction, consistent across both animal models and human samples.

     

    IL-1α_mediates_metabolic.png 

    Figure 4. IL-1α mediates metabolic dysfunction in the heart

     

    5. AML Cells Are the Primary Source of IL-1α During Chemotherapy

    To identify the source of IL-1α, the authors treated THP-1 leukemia cells with DNR in vitro. Flow cytometry, H&E staining, and immunofluorescence confirmed IL-1α production and release from AML cells post-chemotherapy.

    In vivo, the authors used Il1a global knockout mice engrafted with MLL-AF9 AML cells:

    • IL-1α protein expression in the heart remained unchanged in knockout mice

    •  Cardiac dysfunction persisted after DNR, suggesting that AML cells—not host cells—were the dominant source of IL-1α

     

    Further experiments using shIL-1α-transduced AML cells showed:

    • Improved cardiac function

    • Increased myocardial ATP levels

    • Reduced IL-1α staining in cardiac tissue

     

    These results directly link chemotherapy-induced IL-1α secretion from AML cells to cardiac injury.

     

    Figure_5._AML_cells_release_IL-1α.png 

    Figure 5. AML cells release IL-1α in response to DNR treatment

     

    6. IL-1α/NF-κB Axis Disrupts Fatty Acid Metabolism via PGC-1α Suppression

    Using Ingenuity Pathway Analysis (IPA) and PPI network analysis of heart transcriptomes, the authors proposed that IL-1α activates NF-κB, which in turn suppresses PGC-1α, a key transcriptional regulator of fatty acid metabolism and mitochondrial function.

     

    •  Western blot and RT-PCR confirmed a negative relationship between NF-κB p65 and PGC-1α expression

    • In cardiomyocytes exposed to IL-1α, the NF-κB/PGC-1α axis was activated

    • Overexpression of PGC-1α or inhibition of NF-κB signaling restored mitochondrial function and reversed metabolic defects

     

    figure_5.png 

     Figure 6. IL-1α–NF-κB–PGC-1α axis regulates cardiac mitochondrial metabolism


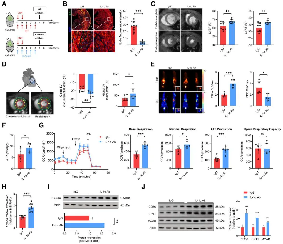
    7. IL-1α Neutralizing Antibody Attenuates DNR-Induced Cardiotoxicity

    To test the therapeutic potential of IL-1α blockade, AML+DNR mice were treated with IL-1α-neutralizing antibodies or IgG controls:

    • Antibody treatment significantly improved cardiac function

    • Myocardial ATP levels and mitochondrial function were restored

    • Expression of PGC-1α and fatty acid metabolism genes increased

    • Leukemia suppression remained unaffected, confirming that IL-1α blockade did not compromise DNR’s anti-tumor efficacy

     

    These results indicate that targeting IL-1α may be an effective strategy to mitigate chemotherapy-induced cardiotoxicity in AML.

     

    Figure_7._Anti–IL-1α_treatment_.png 

    Figure 7. Anti–IL-1α treatment restores cardiac function without affecting chemotherapy efficacy

     

    Conclusion

    This study concludes that during daunorubicin (DNR)-based chemotherapy in AML patients, necrosis of tumor cells leads to the release of IL-1α, a pro-inflammatory cytokine. IL-1α activates NF-κB signaling in the heart, which in turn suppresses the expression of PGC-1α—a key regulator of cardiac energy metabolism. This suppression disrupts fatty acid oxidation and reduces energy production, ultimately impairing cardiac function.

     

    Administration of an IL-1α–neutralizing antibody in AML mouse models successfully reversed the chemotherapy-induced metabolic disturbances and restored cardiac function, without compromising the anti-leukemic efficacy of DNR.

     

    These findings suggest that IL-1α blockade may represent a promising therapeutic strategy to reduce cardiotoxicity and improve long-term outcomes for AML patients undergoing chemotherapy.

     

    How Omics Empower Supported This Study

    In this research, single-nucleus RNA sequencing (snRNA-seq) was critical for capturing the transcriptional landscape of human and mouse cardiomyocytes following DNR-based chemotherapy. Omics Empower supported this phase by providing reliable snRNA-seq services, enabling high-resolution mapping of cardiac cell populations and metabolic gene signatures.

     

    Our single-nucleus and single-cell sequencing services are optimized for fragile clinical samples such as heart biopsies, and our bioinformatics team ensures robust downstream analysis tailored to each study's hypothesis.

     

    image.png 

     

    We have supported over 400 peer-reviewed publications across journals including Nature, Cell, Cancer Cell, and European Heart Journal. Contact us to learn how our single cell sequencing and multi-omics services can accelerate your research.

     

     

     

     

     

     

     



    Find the Right Solution for Your Research
    –Let’s Talk!

    • Germany: Arnold-Graffi-Haus / D85 Robert-Rössle-Straße 10  13125 Berlin

      United States: (CA) 2 Goddard, Irvine, CA 92618 

      United States: (IL) 8255 Lemont Rd, #1, Darien, IL 60561


      Hong Kong: Room 618, Building 6, Hong Kong Science Park, Pak Shek Kok, Hong Kong

    MAIL US YOUR MESSAGE
    This site is protected by reCAPTCHA and applies to the Google Privacy Policy and Terms of Service.
    We use cookies to offer you a better browsing experience, analyze site traffic and personalize content. By using this site, you agree to our use of cookies. Visit our cookie policy to learn more.
    Reject Accept